22 Mm Mesane Taşından Kurtulan Çocuk Sağlığına Kavuştu
Mesanesinde 22 milimetrelik taş tespit edilen 8 yaşında hasta, Düzce Üniversitesi Hastanesi Üroloji Kliniği'nde endoskopik lazer tedavisiyle sağlığına kavuştu.
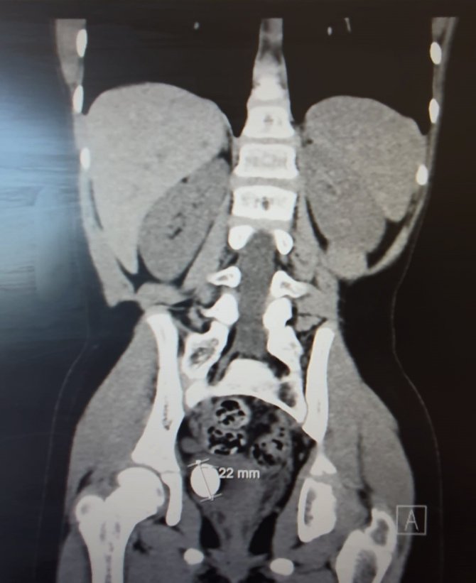
Düzce Üniversitesi Hastanesi Üroloji Kliniği'ne sık idrar yolu enfeksiyonu, kanlı idrar ve iştahsızlık şikayet ile başvuran 8 yaşındaki Dilanur A.'nın mesanesinde 22 mm'lik taş saptandı. Dış merkezlerde açık ameliyat önerilen hastaya yapılan tetkiklerde taşın endoskopik lazer tedavi edileceği belirlenerek ameliyat kararı alındı.
Ameliyat öncesi hazırlıkların tamamlanmasıyla anabilim dalından Dr. Alpaslan Yüksel tarafından operasyona alınan hastanın 22 mm'lik taşı, endoskopik lazer tedavisiyle kırıldı. Operasyon sonrası sağlığına kavuşan hasta, işlemin ardından ertesi gün taburcu edildi. 10 gün sonra kontrole gelen hasta, tüm şikayetlerinin kaybolduğunu ve iştahının açıldığını belirtti.
"Çocuklarda mesane taşı nadir görülen bir hastalık"
Çocuklarda mesane taşının nadir görülen bir hastalık olduğunu ifade eden Üroloji Anabilim Dalı Öğretim Üyesi Dr. Alpaslan Yüksel, "Özellikle İran, Çin, Türkiye, Hindistan ve Endonezya'nın idrar yolu enfeksiyonu sıklığının yüksek olduğu, bazı bölgelerinde daha yaygın görülmektedir. İdrar yolu enfeksiyonlarının yanı sıra A vitamini, magnezyum, fosfat ve B6 vitaminindeki beslenme eksiklikleri, düşük proteinli ve yüksek karbonhidratlı beslenme ve metabolik hastalıklar da çocuklarda mesane taşının gelişimine zemin hazırlar" diye konuştu.
"Komplikasyon riski açık ameliyata göre oldukça düşüktür"
Mesane taşlarında endoskopik taş tedavisinin açık ameliyata göre avantajlarını sıralayan Dr. Yüksel, "Çocuklarda özellikle büyük mesane taşlarının tedavisinde en iyi seçenek cerrahi olup, açık mesane taşı ameliyatı (sistolitotomi) yüksek taşsızlık oranlarına rağmen endoüroloji ve lazer teknolojisindeki gelişmeler sayesinde önceliğini kaybetmeye başlamıştır. Endoskopik taş tedavisinde herhangi bir kesi ve dikiş olmadığından hasta aynı gün veya ertesi gün taburcu edilmektedir. Ayrıca komplikasyon riski açık ameliyata göre oldukça düşüktür" dedi.
Özellikle coğrafi olarak taş kuşağında bulunan ülkemizde çocukların mesane taşı oluşumunu azaltmak için A vitamini, fosfat, B6 vitamini ve proteinden zengin diyetle beslenmesi, su alımının desteklenmesi oldukça önemli olduğunu vurgulayan Yüksel, "Çocuklarda büyük mesane taşlarının tedavisinde endoskopik lazerle taş tedavisi daha çabuk iyileşme ve daha az komplikasyon olması açısından ilk planda düşünülmelidir" ifadelerini kullandı.



Kaynak:IHA
