Doğduktan Sonra İlk Defa Dik Durabildi
Manisa'nın Akhisar ilçesinde yaşayan ve Yıllarca bir bacağı kısa olduğu için yamuk durduğunu zanneden genç kızın skolyozu ameliyatla düzeltildi. Genç kız, "Omurgamdaki eğrilik düzeldi, yıllar sonra artık dik durabiliyorum" diye konuştu.
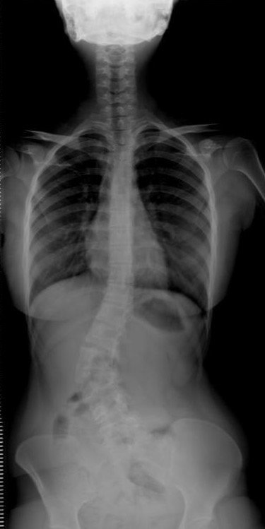
Toplumda her 100 kişiden 2 ila 4'ünde, kız çocuklarında ise erkeklere oranlara 8-10 kat daha fazla görülen skolyoz, nefes almadan, ayakta durmaya, başı çevirmekten, bedeni döndürmeye kadar çeşitli fonksiyonları olan omurgada genellikle S ya da C harfi şeklinde yana doğru eğilmelerle karşımıza çıkıyor. Manisa'nın Akhisar ilçesinde hayatını sürdüren 23 yaşındaki Eda Ar da doğuştan kaynaklanan skolyozu nedeniyle duruşunda dengesizlik yaşıyordu. Yaşı büyüdükçe ağrıları da artan genç kız doktora gitti.
"Bacağın kısa dediler"
Küçükken de eğriliği olduğunu ancak çok da fark etmediklerini anlatan Ar, "Zaman zaman bel ağrısı yaşıyordum. Akhisar'da bir hekim bana 6 tane bel fıtığım olduğunu söyledi. Bir başka doktor da bacağımın kısa olduğunu bu nedenle yamuk durduğumu söyledi. Kafam çok karışıktı. Bazen aynanın karşısına geçer kendime bakardım. Ben de bacağım kısa olduğu için yamuk durduğumu düşünürdüm. Hatta sağ ayağımı biraz yukarı kaldırınca düzelirdim. O zamanlar çok üzülürdüm. Bir gün bacağımda uyuşma ile acile gittim. Skolyoz teşhisi o zaman konuldu" dedi.
"Artık dik durabiliyorum"
Medicana International İzmir Hastanesi'nde görevli Ortopedi ve Travmatoloji Uzmanı Doç. Dr. Mutlu Çobanoğlu'nun takip ettiği genç kıza, ameliyat olması gerektiği söylendi. İlk başta ameliyat fikrinden korksa da sonrasında karar verdiğini anlatan Ar, "Çok araştırdım. Ameliyat günü verdiler, korktuğum için yine vazgeçtim. Mutlu Hoca neden ameliyat olmam gerektiğini anlattı ve ben de olmaya karar verdim. İyi ki de olmuşum. Omurgamdaki eğrilik düzeldi, yıllar sonra artık dik durabiliyorum" şeklinde konuştu.
"Her skolyoz ameliyat gerektirmiyor"
Eda'nın omurgasındaki eğriliğinden doğuştan kaynaklandığını anlatan Medicana International İzmir Hastanesi'nde görevli Ortopedi ve Travmatoloji Uzmanı Doç. Dr. Mutlu Çobanoğlu, "Doğuştan kaynaklanan skolyoz, genellikle ilerleyici tipte oluyor. Çocuk büyüdükçe kendini göstermeye başlıyor. Dışarıdan bakılınca gözükmeyebiliyor. Eda'daki gelişim kusuru omurgasını belli bir tarafa doğru itmişti. Duruşunda dengesizlik meydana geliyordu. Yaşı daha küçükken ağrısı muhtemelen olmuyordu ancak büyüdükçe ağrıları olmaya başladı. Hastadaki skolyozun derecesi ve hastada meydana getirdiği şekil bozukluğuna göre tedavi seçenekleri var. Her skolyoz mutlaka ameliyat olmalı diye bir durum söz konusu değil" diye konuştu. Doç. Dr. Çobanoğlu, skolyozun tedavi edilmediği durumlarda, kişinin solunum problemleri yaşayabildiğini, omurgada dengeli bir yük dağılımı olmadığı için artan ağrılara bağlı olarak kireçlenme olabileceğini ve tüm omurganın bu durumdan etkilenebileceğini de sözlerine ekledi.



Kaynak:IHA
