Karındaki Şişlik Kilo Değil Miyom Olabilir
Kadınların genellikle karında meydana gelen şişlikleri kilo aldığını düşünerek ihmal ettiğini belirten Kadın Hastalıkları ve Doğum Uzmanı Prof. Dr. Selahattin Kumru, bu şişliğin miyom kaynaklı olabileceğini söyledi.
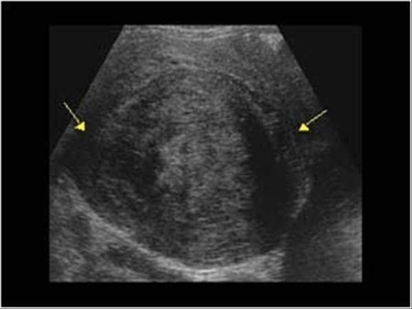
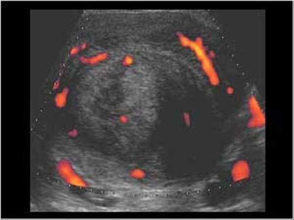
Miyomların genellikle ihmal edildiğine dikkat çeken Kadın Hastalıkları ve Doğum Uzmanı Prof. Dr. Selahattin Kumru, en sık görülen kadın hastalığı olan miyomların tedavisinin kolay olduğunu, tedavi edilmemesi durumunda ise büyük boyutlara ulaşabileceğini ifade etti. Kumru, kanama, kasık ağrısı, kısırlık ve gebelik kaybına neden olabilen, miyom gibi görünen bazı rahim tümörlerinin nadir de olsa kanser hücresi taşıyabileceğini belirtti.
Her 3 kadından 1'inde görülen miyomların en sık rahim tümörü olduğunun altını çizen Kumru, tam olarak neden ortaya çıktığının hala tartışmalı olduğunu ancak genellikle iyi huylu tümörler olduğunu vurguladı. Miyom görünümünde olup içerisinde kötü hücre barındıran (kötü huylu/kanser) olguların oldukça nadir karşılaşıldığını belirten Kumru, yine de takip sırasında hızlı büyüyen miyom görünümlü kitlelerde kanser açısından dikkatli olunması gerektiği konusunda uyardı.
"Aşırı adet kanaması, aşırı adet sancısı, idrar torbasına baskı, kabızlık gibi şikayetler miyomdan kaynaklı olabilir"
Prof. Dr. Selahattin Kumru, sürekli kasık ağrısı çeken, karında şişlik, adet kanamasının süresinde ya da miktarında artma, ara kanamalar, sık idrara çıkma, kabızlık, cinsel aktivite sırasında ağrı gibi şikayetleri olan kadınların, mutlaka jinekolojik muayene ve ultrasonogafi ile değerlendirilmeleri gerektiğini hatırlattı. Prof. Dr. Kumru, "Halk arasında ultrasonografik olarak miyomu olan olgularda anormal aşırı kanamaların nedeninin genellikle miyomlara bağlandığını, oysa hem miyomların bir kısmının gerçekte miyom görünümlü kanserler olması hem de miyomlar ile birlikte rahim içinde kalınlaşma (endometrial hiperplazi) olması, miyomu olan olguların dikkatli değerlendirilmesini zorunlu kıldığını ifade etti. İhmal edilmiş durumlarda geç kalma ve kanser ise ileri evrelere dönüşme riski mevcuttur" dedi.
"Karında meydana gelen şişlikleri kilo aldığınızı düşünerek ihmal etmeyin"
Prof. Dr. Kumru şöyle devam etti: "Örneğin rahimin içine doğru büyüyen miyomlar düzensiz kanamalar, gebe kalmakta zorluklar ve düşük (gebelik kaybı) gibi sorunlara neden olurken dışarıya doğru büyüyen miyomlar sessizce kalabilirler ve tesadüfen fark edebilirler. Rahmin ön tarafında bulunan idrar torbasına baskı yapan miyomlar sık sık idrara çıkma ve önde baskı hissine neden olurken arka taraftaki bağırsağa doğru baskı yapan miyomlar dışkılama zorluğu, kabızlık, cinsel ilişki sırasında ağrı gibi şikayetlere neden olabilirler. Yine miyomlar büyüdükçe karında şişlik ve ağrıya neden olabilmektedirler. Bazı hastalar rahim büyüdüğü için karınlarında meydana gelen şişlikleri kilo aldıklarını düşünerek ihmal ederler ve doktora başvurmakta geç kalırlar. Miyomlar nedeniyle aşırı büyümüş rahimler, kalpten çıkan kanın önemli bir kısmı rahime gitmek zorunda olduğu için çabuk yorulma halsizlik, efor kapasitesinde azalma gibi sorunlar da yaşamaktadırlar."
"Miyom tedavisi zor değil, çeşidine göre değişmektedir"
Miyom tedavisinin genellikle hastaların sorunlarına göre bireyselleştirilerek yapıldığına dikkat çeken Kumru, tesadüfen saptanan, hastada herhangi bir şikâyete ya da soruna neden olmayan küçük hacimli miyomların herhangi bir tedavi uygulamadan takip edildiğini belirtti. Kumru, ancak doğurganlık çağında ve gebe kalmak istediği halde gebe kalamayan bir hastada, gebe kalamamanın başkaca bir nedeni bulunamamış ve sorunun miyom ile ilişkili olabileceği düşünülmüş ise miyomun çıkarılması gerektiğini söyledi.
Adet düzensizliği ve kanama fazlalığı yakınması olan bir hastada yine rahim içinden örnekler alındıktan ve kötü bir hastalık olmadığından emin olduktan sonra miyomların çıkarılmasının uygun olacağını belirten Prof. Dr. Kumru, "Sürekli ve uzun süreli kasık ağrılarının (kronik pelvik ağrı) nedeni büyük boyutlara ulaşmış miyomlar ise yine miyom ameliyatı uygun olur. Büyük boyutlara ulaşmış miyomlar rahime giden kan akımı artışına bağlı olarak çabuk yorulma, halsizlik, efor kapasitesinde azalma yapmakta ise yine miyomların ameliyat ile çıkarılması hastanın hayatını daha konforlu hale getirecektir. Tüm bunlara ilave olarak büyük boyutlara ulaşmış ve klasik miyom görünümünden farklı görünümdeki miyomlar da malignite (kanser) riski göz önüne alınarak dikkatli yönetilmelidirler. Sonuç olarak miyomlar, neden olduğu sorunlar, hastaların yaşı, tedaviden beklentileri gibi faktörler göz önüne alınarak yapılan bir değerlendirmeden sonra tedavi edilmeleri önem arz ediyor" diye konuştu.
"İlaç tedavisi yaygın uygulanılan ve etkili bir tedavi yöntemi değildir"
Miyomlar için çok farklı tedavi seçenekleri bulunduğunu, bazı ilaçların miyomların küçülmesini sağlayabildiğini ancak ilaçların kesilmesinden sonra kişi menopoza girmeyecekse miyomların yeniden büyüdüğünü belirten Prof. Dr. Selahattin Kumru; "O nedenle miyomlar için ilaç tedavisi yaygın uygulanılan ve etkili bir tedavi yöntemi değildir. Miyomların çıkarılması (myomektomi) miyomlar için kalıcı tedavi fırsatı sağlamaktadır. Bu ameliyatlarıda çok kısa sürede, kolaylıkla yapmaktayız. Hastaların korkacağı riskli bir durum bulunmamaktadır" dedi.
Sonuç olarak miyom tedavileri hastaların gündelik hayatlarını kolaylaştırdığı açıkça görülmektedir. Miyom ameliyatları farklı hastalıkların tedavileri ile kıyaslandığında riski daha az ve kolay bir şekilde yapılıyor, hastanın gündelik hayatına dönmesi de çok hızlı bir şekilde oluyor.



Kaynak:IHA
